Hi, I am
{Abdelrhman Tarek}

AI Engineer, specialized in building machine learning models and developing AI-powered applications.

Abdelrhman Tarek

About Me

Abdelrhman Tarek

Projects

KayoBot

KayoBot

KayoBot is an AI-driven chatbot developed to handle technical inquiries across a wide range of subjects, including Web Development, Machine Learning, and Deep Learning. Designed to serve both Arabic and English-speaking users.

Deep Learning Seq2Seq LSTM Flask Python
Person Classifier

Person Classifier

Developed a face recognition system using machine learning, Flask, Python, OpenCV, and web technologies, achieving over 90% accuracy without neural networks.

Machine Learning Flask Python OpenCV
Amazon Sales Dashboard for India

Amazon Sales Dashboard for India

Developed an interactive dashboard using Python, Dash, and Plotly Express to visualize and analyze Amazon sales data in India, including metrics like total orders, geographical distribution, and product category insights.

Python Dash Plotly Express Data Visualization Data Analysis
Tetris Game AI

Tetris Game AI

Designed and developed Tetris Game using Genetic Algorithm and Python to make AI play the game and gain a higher score, up to 260,000 points.

Genetic Algorithm Python AI Development Artificial Intelligence
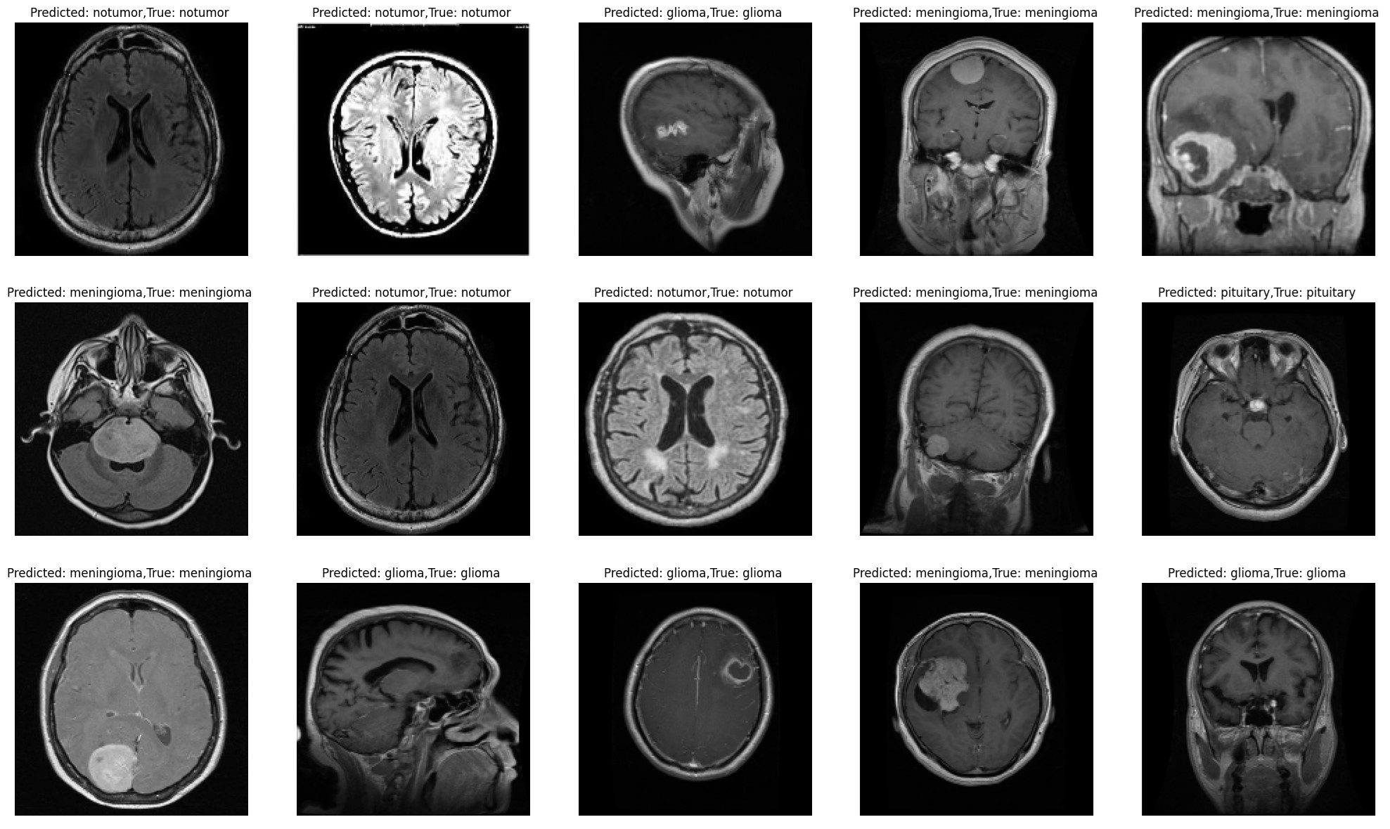
Brain Tumor MRI

Brain Tumor MRI

Implemented classification of brain tumors using ANN, DNN, and CNN with Python, achieving an F1 Score of 92%.

Deep Learning Keras Tensorflow Python

My Skills

Technical Skills

ML Algorithms | Deep Learning Data Analysis | Data Science Software Engineering | Operating Systems Data Structure | Algorithms MS SQL Server | Git and GitHub Python | Tkinter | Pyqt5 C++ | Qt, Java, C# | WPF | Windows Forms HTML | CSS | JavaScript | Django

Soft Skills

Leadership | Communication | Teamwork Problem-Solving | Adaptability | Creativity

Certificate

Best Project at DEPI (KayoBot Project)

Best Project in DEPI (KayoBot Project)

Machine Learning program

Machine Learning program

Advanced Learning Algorithms

Advanced Learning Algorithms

Supervised Machine Learning

Supervised Machine Learning

Machine Learning Internship

Machine Learning Internship

IoT applications

IoT applications

Introduction to the IOT

Introduction to the IOT

Git and GitHub

Git and GitHub

Contact me